Smile Gallery

Veneers

The image shows two close-up photos of a person s teeth with red lipstick, displaying a bright smile against a grey background.

Porcelain Crowns

The image displays a side-by-side comparison of two different sets of teeth, with one set appearing to be undergoing dental treatment or restoration.

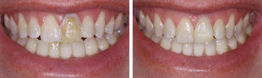
Bonding

The image shows a person s teeth with a noticeable difference between their upper and lower teeth, where the upper teeth are straight and white while the lower teeth are misaligned and yellowed.

Get in touch

We’re always on hand to answer your questions and get back to you with a prompt response.

SMS Consent
Submit

Thank You!

We appreciate you taking the time to visit our site. We'll review your message and be in touch with you soon.

Continue

Let us help bring out the best in your smile!

About Us

Our goal is to help every patient experience the benefits of good oral health and a beautiful smile. We value the trust you have placed in our office and strive to provide solutions that meet your dental needs and expectations of care.